富士市・富士宮市のインプラント治療

〒417-0001 静岡県富士市今泉3983-14
東海道新幹線 新富士駅 車で10分/東名高速道路 富士インター 車で5分

診療時間
9:00〜12:30 ×
14:00〜19:00 ×

△:14:00〜18:30 ◎:14:00〜17:00
休診日:日曜・祝日

ご予約・お問い合わせはこちらへ

インプラント症例2

神谷歯科クリニックでは、多くの患者様にインプラント治療をおこなって参りました。

その中からいくつかの症例をご紹介いたします。

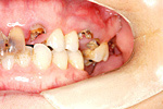
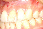
症例 6

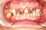
① 虫歯でぼろぼろの歯は抜きます。

② 歯の無いところはインプラントで補います。

60才代 女性
総額:300万円(税別)
治療期間:1年6ヵ月
リスク副作用:清掃不良ですと歯周痛が再発します。セラミックが欠けることがあります。

症例 7

① 虫歯でも残せる歯はなるべく抜かずに治療して残します。

② 右下奥歯はインプラントで歯を作りました。

50才代 男性
総額:400万円(税別)
治療期間:2年
リスク副作用:メインテナンスが悪いとインプラント周囲炎になります。タバコは禁煙しないと予後が不良になります。

症例 8

① 左側は下の歯がないので上の歯が下がってきています。

② 歯の高さをそろえて、下の歯の無い部分にはインプラントで歯を入れました。

40才代 女性
総額:84万円(税別)
治療期間:4ヵ月
リスク副作用:ブラッシングが不良ですとインプラント周囲炎になってしまいます。セラミックが欠けることがあります。

症例 9

① 右上34番の歯がありません。

② インプラントで2本分の歯を作りました。

20才代 男性
総額:45万円(税別)
治療期間:3ヵ月
リスク副作用:骨の吸収による審美性の低下。ブラッシング不良によるインプラント周囲炎の発生。

症例 10

① 右上奥歯がありません。普通なら取り外しの顎つき入れ歯しか入りません。

② インプラントしたことで固定式の自分の歯に近い義歯が入りました。

50才代 女性
総額:170万円(税別)
治療期間:6ヵ月
リスク副作用:ブラッシング不良によるインプラント周囲炎の発生。

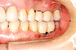
症例 11

① 左右の奥歯がありません。普通では左右つながった取り外しの入れ歯しか入りません。

② インプラントで固定式の義歯ができました。自分の歯に近い感じで食事ができます。

60才代 女性
総額:182万円(税別)
治療期間:6ヵ月
リスク副作用:メインテナンス不良ですと歯周炎、インプラント周囲炎になります。セラミックが欠けることがあります。

症例 12

① 右下の奥歯がありません。奥歯は食物を噛むのにとても大切な歯です。

② インプランとでしっかり噛めるようになり、自分の残りの歯の負担を少なくできました。

40才代 男性
総額:76万円(税別)
治療期間:4ヵ月
リスク副作用:ブラッシング不良ですとインプラント周囲の骨が吸収します。

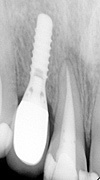
症例 13

① 前歯1本がないところにインプラントを埋め込んだレントゲン写真です。

② 最終的な歯が入りメンテナンス中のレントゲン写真です。

30才代 女性
総額:42万円(税別)
治療期間:4ヵ月
リスク副作用:経年的に骨が吸収すると審美障害が生ずることがあります。

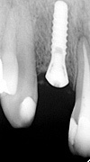
症例 14

① 前歯1本が無い状態です。通常は前後の2本の歯を削ってブリッジにしますが、インプラントをすることにより、健康な歯を削る必要はなくなります。

② インプラントが埋め込まれて安定した状態です。

③ インプラントに固定式の歯が入ったところです。健康な自分の歯を守る事ができました。

20才代 女性
総額:42万円(税別)
リスク副作用:顎骨の変化により、自分の歯との間に隙間や段差が生じることがあります。

症例 15

① 治療前、左下奥歯がありません。

② インプラント手術後土台を立てたところです。

③ 固定式のセラミックの歯が入りました。

50才代 女性
総額:89万円(税別)
治療期間:4ヵ月
リスク副作用:噛み合わせに負担がかかりすぎるとセラミックが破損することがあります。

以下のページもご覧ください

当院のインプラント治療の特徴についてご説明します。事前に綿密な検査を行って、患者さまのお体への負担が少ない治療をご提供しています。

一般的なインプラント治療の流れについてご案内しています。お口の状態や治療内容によっては変わってくる場合もございますので、ご了承ください。

患者さまから寄せられる「よくある質問」にお答えしています。ここに掲載されていない質問がありましたら、お気軽にスタッフにお尋ねください。

院内の様子や、当院の設備についてご紹介するページです。ご来院される前に、ぜひ一度チェックしてみてください。

パソコン|モバイル
ページトップに戻る