富士市・富士宮市のインプラント治療

〒417-0001 静岡県富士市今泉3983-14
東海道新幹線 新富士駅 車で10分/東名高速道路 富士インター 車で5分

診療時間
9:00〜12:30 ×
14:00〜19:00 ×

△:14:00〜18:30 ◎:14:00〜17:00
休診日:日曜・祝日

ご予約・お問い合わせはこちらへ

インプラント症例1

神谷歯科クリニックでは、多くの患者様にインプラント治療をおこなって参りました。

その中からいくつかの症例をご紹介いたします。

症例 1

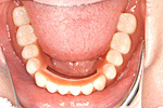
① 60才代の方です。まったく歯がありません。従来の総入れ歯を使用されていました。

食事でかむたびに入れ歯が動き、長い間不自由さを感じていました。上あごは長い間の入れ歯だった為、骨の厚みがなくなってインプラントは不可能でした。下あごの骨の厚みは可能な状態でした。

② 下あごにインプラント(人工歯根)を埋入しました。これで、まったく歯がなかったところに歯の土台が固定されました。

ここに、人工の歯を乗せしっかりと固定します。従来の入れ歯は歯がまったくない場合、歯肉に乗せるしかありませんでした。

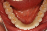
③ 下あごの人工歯です。インプラントの上にキャップを入れてあります。

④ 従来の入れ歯のように見えますが、大きな違いは中央の黒く見える部分(実際は銀色)を上図の埋入したインプラント (人工歯根)に乗せしっかりと固定します。これが動かない理由です。

⑤ インプラントの上に取り外し式の入れ歯が入りました。

⑥ インプラントが土台の下の総入れ歯が入りました。

60才代 女性 5本埋入
総額:225万円(税別)
治療期間:6ヵ月
リスク副作用:一時的な食事制限によるQOLの低下。腫脹。神経障害。出血。咬合歯の負担増加。

従来の入れ歯は、噛む力も自分の歯に比べ弱く、唾液の量も減ります。かむ事は脳に刺激をあたえ 、ぼけ防止になり、唾液はがん細胞の増殖を抑え、栄養分をより効果的にする大切な役割をしています。

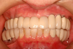
従来の入れ歯

インプラントで固定されています。

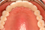
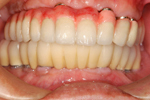
症例 2

① 上の顎・治療前

② 前から見た状態・治療前

③ 上の顎 インプラント後

④ 上の顎。最終的なオールセラミックの歯が入ったところ。

⑤ 上下とも治療の終わった状態。メインテナンスに入ります。

60才代 女性
総額:360万円(税別)
治療期間:約1年
リスク副作用:経年的な骨の吸収。セラミックの破損。

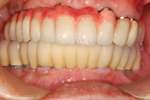
症例 3

下の顎

① 下の顎・治療前。歯が何もありません。

② 下の顎・インプラントの埋入後

③ 下の顎・セラミッククラウン、ブリッジセット状態

 ④ 治療後。前から見た状態


上の顎

① 上の顎・治療前。歯が4本しかありません。

② 上の顎・歯周治療の後。矯正治療で歯の位置を修正

③ 上の顎・インプラント埋入の状態

④ 上の顎・ハイブリッドセラミックブリッジセット状態

⑤ 治療後・前から見た状態


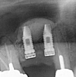
レントゲン写真

治療前 レントゲン写真

治療後 レントゲン写真

60才代 男性
総額:530万円(税別)
治療期間:2年
リスク副作用:経年的変化による補綴物の消耗。ブラッシング不足ですとインプラント周囲炎になります。

症例 4

術前

術後


術前

術中
骨を作っている途中

術後

40才代 男性
総額:99万円(税別)
治療期間:6ヵ月
リスク副作用:上顎洞の炎症。インプラント体の迷入。セラミッククラウンの破損。

症例 5

① 右下奥歯に歯がありません。

② 普通なら前後の歯を削り、被せてつなぐブリッジにしますが、インプラントすることにより自分の健康な歯を大きく削る必要は無くなり、歯を長持ちさせることができます。

① 上と同一人物のかみ合わせから見た状態。

② 左下は普通では取りはずしの入れ歯しか入りませんが、インプラントにより、固定式の歯が入りました。

50才代 男性 インプラント4本埋入、セラミッククラウン4本
総額:210万円(税別)
治療期間:4ヵ月
リスク副作用:一時的な食事制限によるQOLの低下。腫脹。神経障害。出血。咬合歯の負担増加。先端で硬いものを噛むと欠けることがあります。

以下のページもご覧ください

当院のインプラント治療の特徴についてご説明します。事前に綿密な検査を行って、患者さまのお体への負担が少ない治療をご提供しています。

一般的なインプラント治療の流れについてご案内しています。お口の状態や治療内容によっては変わってくる場合もございますので、ご了承ください。

患者さまから寄せられる「よくある質問」にお答えしています。ここに掲載されていない質問がありましたら、お気軽にスタッフにお尋ねください。

院内の様子や、当院の設備についてご紹介するページです。ご来院される前に、ぜひ一度チェックしてみてください。

パソコン|モバイル
ページトップに戻る